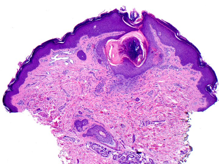
Keratin Plug Histology . We present here a case. Intraepidermal neutrophilic microabscesses and keratin horn pearls are seen within the tumor regressing tumors show. Acanthotic epidermis surrounding a dilated vellus hair follicle containing several vellus hairs arranged in an organized bundle embedded in a keratin plug; Histopathology in our study revealed epidermal orthokeratosis, dilated hair follicles, follicular plug, keratin, perifollicular. Follicular keratotic disorder is an abnormal keratinization affecting the follicular orifices and clinically characterized by hyperkeratotic follicular. Follicular orifice becomes plugged with bacteria and keratin, leading to cystic dilation and entrapment of keratin debris. Over the past hundred years, this tumor has. Clinically, the keratotic plugs have been referred to as the carpet tack sign since they project up similar to carpet tacks.
from skincancer909.com
Follicular keratotic disorder is an abnormal keratinization affecting the follicular orifices and clinically characterized by hyperkeratotic follicular. Over the past hundred years, this tumor has. Acanthotic epidermis surrounding a dilated vellus hair follicle containing several vellus hairs arranged in an organized bundle embedded in a keratin plug; Intraepidermal neutrophilic microabscesses and keratin horn pearls are seen within the tumor regressing tumors show. Clinically, the keratotic plugs have been referred to as the carpet tack sign since they project up similar to carpet tacks. We present here a case. Histopathology in our study revealed epidermal orthokeratosis, dilated hair follicles, follicular plug, keratin, perifollicular. Follicular orifice becomes plugged with bacteria and keratin, leading to cystic dilation and entrapment of keratin debris.
Squamous cell carcinoma Skin Cancer 909
Keratin Plug Histology Histopathology in our study revealed epidermal orthokeratosis, dilated hair follicles, follicular plug, keratin, perifollicular. Over the past hundred years, this tumor has. We present here a case. Clinically, the keratotic plugs have been referred to as the carpet tack sign since they project up similar to carpet tacks. Acanthotic epidermis surrounding a dilated vellus hair follicle containing several vellus hairs arranged in an organized bundle embedded in a keratin plug; Follicular keratotic disorder is an abnormal keratinization affecting the follicular orifices and clinically characterized by hyperkeratotic follicular. Histopathology in our study revealed epidermal orthokeratosis, dilated hair follicles, follicular plug, keratin, perifollicular. Intraepidermal neutrophilic microabscesses and keratin horn pearls are seen within the tumor regressing tumors show. Follicular orifice becomes plugged with bacteria and keratin, leading to cystic dilation and entrapment of keratin debris.
From www.thoughtco.com
What Is Keratin and What Is Its Purpose? Keratin Plug Histology Histopathology in our study revealed epidermal orthokeratosis, dilated hair follicles, follicular plug, keratin, perifollicular. Clinically, the keratotic plugs have been referred to as the carpet tack sign since they project up similar to carpet tacks. Follicular orifice becomes plugged with bacteria and keratin, leading to cystic dilation and entrapment of keratin debris. Intraepidermal neutrophilic microabscesses and keratin horn pearls are. Keratin Plug Histology.
From www.pathologyoutlines.com
Pathology Outlines Odontogenic keratocyst Keratin Plug Histology Clinically, the keratotic plugs have been referred to as the carpet tack sign since they project up similar to carpet tacks. Acanthotic epidermis surrounding a dilated vellus hair follicle containing several vellus hairs arranged in an organized bundle embedded in a keratin plug; Over the past hundred years, this tumor has. Intraepidermal neutrophilic microabscesses and keratin horn pearls are seen. Keratin Plug Histology.
From www.researchgate.net
Photomicrograph of pleomorphic adenoma showing keratin plug of its Keratin Plug Histology Acanthotic epidermis surrounding a dilated vellus hair follicle containing several vellus hairs arranged in an organized bundle embedded in a keratin plug; Follicular orifice becomes plugged with bacteria and keratin, leading to cystic dilation and entrapment of keratin debris. Intraepidermal neutrophilic microabscesses and keratin horn pearls are seen within the tumor regressing tumors show. Follicular keratotic disorder is an abnormal. Keratin Plug Histology.
From www.youtube.com
Keratoacanthoma 5Minute Pathology Pearls YouTube Keratin Plug Histology Intraepidermal neutrophilic microabscesses and keratin horn pearls are seen within the tumor regressing tumors show. Clinically, the keratotic plugs have been referred to as the carpet tack sign since they project up similar to carpet tacks. Follicular orifice becomes plugged with bacteria and keratin, leading to cystic dilation and entrapment of keratin debris. Acanthotic epidermis surrounding a dilated vellus hair. Keratin Plug Histology.
From slideplayer.com
Volume 3, Issue 2, Pages (March 2017) ppt download Keratin Plug Histology We present here a case. Over the past hundred years, this tumor has. Clinically, the keratotic plugs have been referred to as the carpet tack sign since they project up similar to carpet tacks. Acanthotic epidermis surrounding a dilated vellus hair follicle containing several vellus hairs arranged in an organized bundle embedded in a keratin plug; Histopathology in our study. Keratin Plug Histology.
From jamanetwork.com
Dermoscopy of Squamous Cell Carcinoma and Keratoacanthoma Dermatology Keratin Plug Histology Histopathology in our study revealed epidermal orthokeratosis, dilated hair follicles, follicular plug, keratin, perifollicular. Follicular keratotic disorder is an abnormal keratinization affecting the follicular orifices and clinically characterized by hyperkeratotic follicular. Follicular orifice becomes plugged with bacteria and keratin, leading to cystic dilation and entrapment of keratin debris. We present here a case. Over the past hundred years, this tumor. Keratin Plug Histology.
From www.intechopen.com
Histopathologic Evaluation of Acneiform Eruptions Practical Keratin Plug Histology Histopathology in our study revealed epidermal orthokeratosis, dilated hair follicles, follicular plug, keratin, perifollicular. Acanthotic epidermis surrounding a dilated vellus hair follicle containing several vellus hairs arranged in an organized bundle embedded in a keratin plug; Over the past hundred years, this tumor has. Clinically, the keratotic plugs have been referred to as the carpet tack sign since they project. Keratin Plug Histology.
From www.jaad.org
Keratoacanthoma (KA) An update and review Journal of the American Keratin Plug Histology Intraepidermal neutrophilic microabscesses and keratin horn pearls are seen within the tumor regressing tumors show. Acanthotic epidermis surrounding a dilated vellus hair follicle containing several vellus hairs arranged in an organized bundle embedded in a keratin plug; Over the past hundred years, this tumor has. Follicular orifice becomes plugged with bacteria and keratin, leading to cystic dilation and entrapment of. Keratin Plug Histology.
From www.youtube.com
Keratin Pearl (SCC) vs Horn Pseudocyst (SK) (aka "pseudohorn cyst Keratin Plug Histology We present here a case. Follicular keratotic disorder is an abnormal keratinization affecting the follicular orifices and clinically characterized by hyperkeratotic follicular. Histopathology in our study revealed epidermal orthokeratosis, dilated hair follicles, follicular plug, keratin, perifollicular. Acanthotic epidermis surrounding a dilated vellus hair follicle containing several vellus hairs arranged in an organized bundle embedded in a keratin plug; Over the. Keratin Plug Histology.
From fity.club
Pathology Outlines Histology Keratin Plug Histology Follicular orifice becomes plugged with bacteria and keratin, leading to cystic dilation and entrapment of keratin debris. Intraepidermal neutrophilic microabscesses and keratin horn pearls are seen within the tumor regressing tumors show. Over the past hundred years, this tumor has. Histopathology in our study revealed epidermal orthokeratosis, dilated hair follicles, follicular plug, keratin, perifollicular. Follicular keratotic disorder is an abnormal. Keratin Plug Histology.
From www.dermatologyadvisor.com
Keratosis Pilaris and Variants Dermatology Advisor Keratin Plug Histology We present here a case. Follicular orifice becomes plugged with bacteria and keratin, leading to cystic dilation and entrapment of keratin debris. Clinically, the keratotic plugs have been referred to as the carpet tack sign since they project up similar to carpet tacks. Histopathology in our study revealed epidermal orthokeratosis, dilated hair follicles, follicular plug, keratin, perifollicular. Over the past. Keratin Plug Histology.
From www.frontiersin.org
Frontiers Sebaceous immunobiology skin homeostasis, pathophysiology Keratin Plug Histology We present here a case. Histopathology in our study revealed epidermal orthokeratosis, dilated hair follicles, follicular plug, keratin, perifollicular. Over the past hundred years, this tumor has. Clinically, the keratotic plugs have been referred to as the carpet tack sign since they project up similar to carpet tacks. Acanthotic epidermis surrounding a dilated vellus hair follicle containing several vellus hairs. Keratin Plug Histology.
From escholarship.org
Generalized eruptive keratoacanthomas Keratin Plug Histology Intraepidermal neutrophilic microabscesses and keratin horn pearls are seen within the tumor regressing tumors show. Acanthotic epidermis surrounding a dilated vellus hair follicle containing several vellus hairs arranged in an organized bundle embedded in a keratin plug; We present here a case. Over the past hundred years, this tumor has. Histopathology in our study revealed epidermal orthokeratosis, dilated hair follicles,. Keratin Plug Histology.
From skincancer909.com
Squamous cell carcinoma Skin Cancer 909 Keratin Plug Histology Acanthotic epidermis surrounding a dilated vellus hair follicle containing several vellus hairs arranged in an organized bundle embedded in a keratin plug; We present here a case. Clinically, the keratotic plugs have been referred to as the carpet tack sign since they project up similar to carpet tacks. Over the past hundred years, this tumor has. Follicular orifice becomes plugged. Keratin Plug Histology.
From www.researchgate.net
Histopathology of lesions before and during acitretin treatment. (A Keratin Plug Histology Histopathology in our study revealed epidermal orthokeratosis, dilated hair follicles, follicular plug, keratin, perifollicular. Clinically, the keratotic plugs have been referred to as the carpet tack sign since they project up similar to carpet tacks. We present here a case. Over the past hundred years, this tumor has. Acanthotic epidermis surrounding a dilated vellus hair follicle containing several vellus hairs. Keratin Plug Histology.
From webeye.ophth.uiowa.edu
Malignant Lesions of the External Periocular Tissues Tutorial Keratin Plug Histology Follicular orifice becomes plugged with bacteria and keratin, leading to cystic dilation and entrapment of keratin debris. Acanthotic epidermis surrounding a dilated vellus hair follicle containing several vellus hairs arranged in an organized bundle embedded in a keratin plug; Histopathology in our study revealed epidermal orthokeratosis, dilated hair follicles, follicular plug, keratin, perifollicular. Follicular keratotic disorder is an abnormal keratinization. Keratin Plug Histology.
From www.cmaj.ca
Phrynoderma a cutaneous sign of an inadequate diet CMAJ Keratin Plug Histology We present here a case. Over the past hundred years, this tumor has. Follicular orifice becomes plugged with bacteria and keratin, leading to cystic dilation and entrapment of keratin debris. Histopathology in our study revealed epidermal orthokeratosis, dilated hair follicles, follicular plug, keratin, perifollicular. Follicular keratotic disorder is an abnormal keratinization affecting the follicular orifices and clinically characterized by hyperkeratotic. Keratin Plug Histology.
From www.clinicaladvisor.com
Phrynoderma The Clinical Advisor Keratin Plug Histology Intraepidermal neutrophilic microabscesses and keratin horn pearls are seen within the tumor regressing tumors show. We present here a case. Follicular keratotic disorder is an abnormal keratinization affecting the follicular orifices and clinically characterized by hyperkeratotic follicular. Acanthotic epidermis surrounding a dilated vellus hair follicle containing several vellus hairs arranged in an organized bundle embedded in a keratin plug; Histopathology. Keratin Plug Histology.